歯並びをキレイにしたい方
症例紹介
Symptom
Mouthpiece correction
Mouthpiece correction
Mouthpiece correction
こんなときはご相談ください
口を大きく開ける自信がない方
歯の隙間が気になる方
従来の矯正方法は嫌な方
矯正が必要か調べてほしい方
将来的に歯並びが不安な方
事例紹介
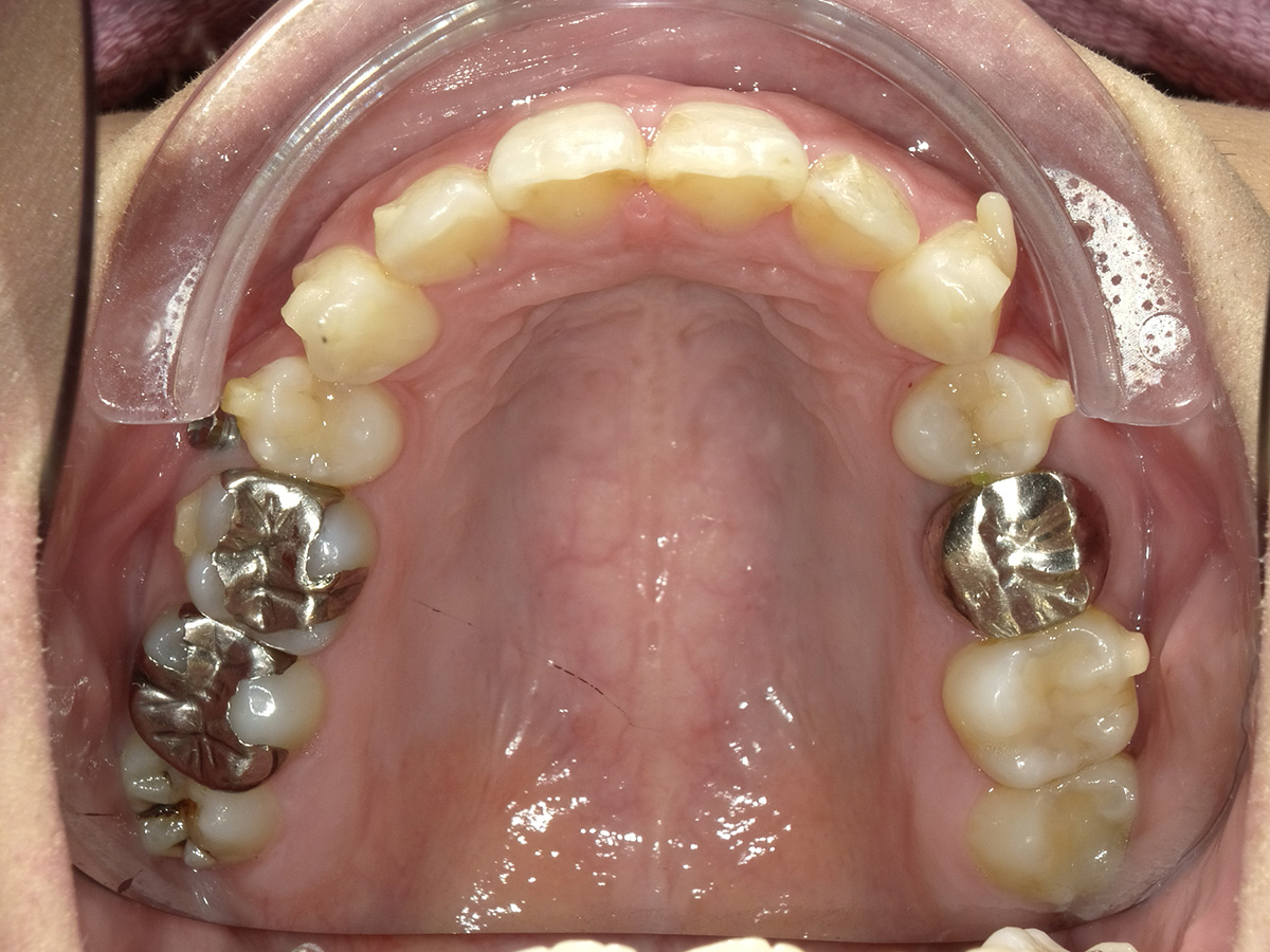
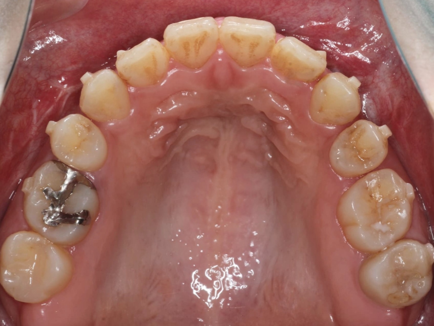
Before After
上顎前突(口ゴボ)


症例概要 / Case details
- 治療名: インビザライン(抜歯矯正)
- 主訴: 出っ歯を治したい
- 期間・回数: 7ヶ月 / 来院3回
- 費用の目安(自費・税込換算の目安): 770,000円(税込)
- リスクについて:使用時間に応じて歯の移動の結果が変わる場合があります。
治療内容の要点
口元を下げるために、前から4番目の歯(第一小臼歯)を抜歯し、そのスペースを利用して前歯を後ろに下げました。
歯は骨に埋まっているため、CT撮影をすることで骨の厚みを把握し、その中で歯が安全に収まるように治療計画を組みながら確実に移動させていきました。
無事前歯が後方に移動し、Eラインが綺麗に整っています。
患者様の声
一度他院で抜歯をして、口元を引っ込めるプランで始めたのですがあまり移動せず、5年以上期間が空いて今回2回目の矯正をお願いしました。一度失敗しているので本当に抜歯したスペースがなくなるのか不安でしたが、西川先生にお願いしてから7ヶ月で抜歯スペースがなくなり、明らかに口元がスッキリして口が閉じやすくなりました。大満足です。光加速装置を使用する前は早くする分痛みも増えると思っていたのですが想定よりも全然痛くなく、特に問題もなく進められました。途中ゴム掛けをできなかったりした期間があったのでいまはその修正のマウスピース使っています。子供もいて私はいいかなと思っていたのですがモニタープランでなんとかできそうな料金だったので、思い切ってお願いしました。諦めなくてよかったです。
医師からの言葉
結婚式のために抜歯をして矯正をされた過去をお聞きしました。少しだけ動いたけれどスペースは埋まらなかったとのことでしたので、歯が動きにくい可能性も踏まえてお伝えした上で矯正治療を開始されました。 結論から言うと無事歯は問題なく動き、現在ではお口元のEラインもとても美しくなりました。ご自身ご家族のご協力も得ながらマウスピースを頑張っていただいた結果だと思います。 すでに見た目は良いのですが、さらに噛み合わせを緊密にすることで長期的に健康的は歯並びを手に入れるためにもう一踏ん張りしていきましょう!
※掲載症例は一例であり、結果・期間・費用には個人差があります。
下顎前突、顔の左右差


症例概要 / Case details
- 治療名: インビザライン(両顎手術後矯正)
- 主訴: 下顎前突を治したい、顔の左右差もなくしたい
- 期間・回数: 9ヶ月 / 来院4回
- 費用の目安(自費・税込換算の目安): 1,200,000円(税込)
- リスクについて:使用時間に応じて歯の移動の結果が変わる場合があります。
治療内容の要点
下顎前突と正面から見た時のお顔の左右差をサージェーリーファーストにより改善し、その後の歯の軸や噛み合わせをマウスピース矯正にて整えていきました。
事前のシミュレーションを外科医の鶴木三郎先生とすり合わせをし、治療に進む前の段階で患者様に外科での骨の移動とその後の歯の移動についてご説明することで、最終ゴールがどうなるのかを知っていただいてから開始するため安心して治療を受けられている印象でした。まだ治療経過中ですが約8ヶ月である程度の位置まで歯が動いています。最後に口元をさらに下げる微調整の進行中です。
患者様の声
両顎手術をする前から矯正のお話をしていただけたので、手術後も安心して矯正を開始できました。
光加速装置を使用し、マウスピースを3日で交換できたため早く歯が並んで嬉しかったです。マウスピースが汚れる前に交換できるのも良かってです。途中ネジが外れてしまった時もありましたが早めに打ち直してくれたり、矯正中も毎回丁寧に診察してくれたので安心して進めることができました。何かあった時にLINEで先生に直接聞けるのもよかったです。
医師からの言葉
両顎手術をご希望され、その後の矯正治療も目立たずに進められたいとのことでマウスピース矯正を選択されました。
手術後約1ヶ月後にマウスピース矯正を開始し、頑張って使用してくださったので68枚を約半年で終えられ、とても綺麗な歯並びになりました。現在は微調整を行なっております。長期的に綺麗な歯並びを維持するためにラストスパート頑張っていきましょう!
※掲載症例は一例であり、結果・期間・費用には個人差があります。
下顎前突


症例概要 / Case details
- 治療名: インビザライン(両顎手術後矯正)
- 主訴:下顎前突を治したい
- 期間・回数:7ヶ月 / 来院3回
- 費用の目安(自費・税込換算の目安): 120万円(税込)
- リスクについて:使用時間に応じて歯の移動の結果が変わる場合があります。
治療内容の要点
サージェリーファーストを行い、その後にマウスピースにて矯正治療を行いました。両顎手術により骨格を大きく変化させつつ、前歯を後方に下げるために抜歯をおこなって矯正治療を進めています。現在進行形ですが経過はとても良好で、半年ほどで抜歯したスペースもほぼなくなっています。
患者様の声
サージェリーファーストに対応したマウスピース矯正があり、手術後も目立たないとのことでこちらでマウスピース矯正を始めました。約7ヶ月前に始めて抜歯スペースはほぼなくなりました。現在修正のマウスピースを使用しています。特に大きな痛みもなく問題なく進められています。サージェリーファーストなので矯正よりも手術が先ですが、手術の前の段階で矯正の治療プランを説明してくれて、手術での骨の移動分から歯の移動を決めていることが聞けたので安心して開始できました。 まだ途中ですが何かあればいつでも相談できるので不安なく進められています。
医師からの言葉
真面目にマウスピースを使用してくださりとても順調に進んでおります。矯正を開始して約半年で抜歯スペースはほぼ閉じてきました。手術中に前から4番目の歯を一緒に抜歯をしていただきなるべく早い段階でマウスピース矯正を開始されました。抜歯プランですので通常ですと長い期間がかかりますが光加速装置を併用しているため期間を半分ほどまで短縮できております。まだ油断はできませんが引き続き一緒に頑張っていきましょう!
※掲載症例は一例であり、結果・期間・費用には個人差があります。
下顎前突・ガミースマイル(術後10ヶ月)

症例概要 / Case details
- 治療名: インビザライン(両顎手術後矯正)
- 主訴:下顎の突出感と非対称、ガミースマイルを治したい
- 期間・回数:11ヶ月 / 来院4回
- 費用の目安(自費・税込換算の目安): 120万円(税込)
- リスクについて:使用時間に応じて歯の移動の結果が変わる場合があります。
治療内容の要点
両顎手術によって下顎前突とガミースマイルを治したいとのことでご来院されました。主訴改善には両顎手術が適しており、かつ術後の審美性を重視されていたため、マウスピースにて矯正治療を行いました。
サージェリーファースにて骨格を改善したのち、矯正治療によって適切な位置に歯を並べています。下顎前突とガミースマイルが改善され、より自然な笑顔が達成されています。
患者様の声
両顎手術を受けた後に、目立たないマウスピース矯正で治療を行いました。
手術と矯正の先生が毎回お話をしてくれたので、きちんと連携しているのだなと安心しました。
サージェリーファーストの後に矯正を始め、いまひとまず前歯が下がりました。綺麗になって満足しています。
今までによりもさらに自信がつきました。光加速装置も最初から使いました。1年かからなかったと思います。
医師からの言葉
きちんとマウスピースを使用され一気に歯並びが改善していきましたね。抜歯はせず非抜歯でも十分に前歯を後ろに下げられる計画を立てられたので、あとはプラン通り進められてバッチリです。私ができることは最初に緻密に計画を立て説明することと、その都度問題ないかの確認までです、お家できちんとマウスピースを使用してくださった努力がしっかりと結果に出ていて私も嬉しく思います。
※掲載症例は一例であり、結果・期間・費用には個人差があります。


